Skip to main content
Skip to search
Skip to main menu
Skip to page specific menu
Skip to footer area
Site Menu
Search
Close Search
Search the N3 Lab: Laboratory for Neuromorphology and Network Neurodynamics site
Search
A-Z
|
Search All UMass Chan Sites
About
Admissions
Education
Faculty
Research
Diversity
Giving
Search
Close Search
Search the N3 Lab: Laboratory for Neuromorphology and Network Neurodynamics site
Search
A-Z
|
Search All UMass Chan Sites
Sichani Lab
N3Lab: Laboratory for Neuromorphology and Network Neurodynamics
Research
Research
Analytic Resources
Neurophysiology
Epilepsy
Neuromorphology
Neuromorphology
Ultrastructural Studies
Ultrastructural Studies
Ultrastructural Studies of the Human Cortex
Golgi Atlas of the Brain
Network Neurodynamics
Network Neurodynamics
Cortical High Frequency Oscillations
Cortical High Frequency Oscillations
Brief History of High Frequency Oscillations
Cortical HFO Networks
Seizure Prediction
Human Intracranial EEG
Become a Study Participant
Funding
People
People
Lab Members
Alumni
Collaborators
Deep Brain Stimulation
Journal Club
Journal Club
Epilepsy Journal Club
Lab Journal Club
Movement Disorder Journal Club
Neurosurgery Journal Club
News
Publications
Positions
Contact
Additional Resources
About
Admissions
Education
Faculty
Research
Diversity
Giving
Page Menu
x
Ultrastructural Studies
Ultrastructural Studies of the Human Cortex
Ultrastructural Studies
Ultrastructural Studies of the Human Cortex
N3 Lab: Laboratory for Neuromorphology and Network Neurodynamics
Research
Neuromorphology
Ultrastructural Studies
Ultrastructural Studies
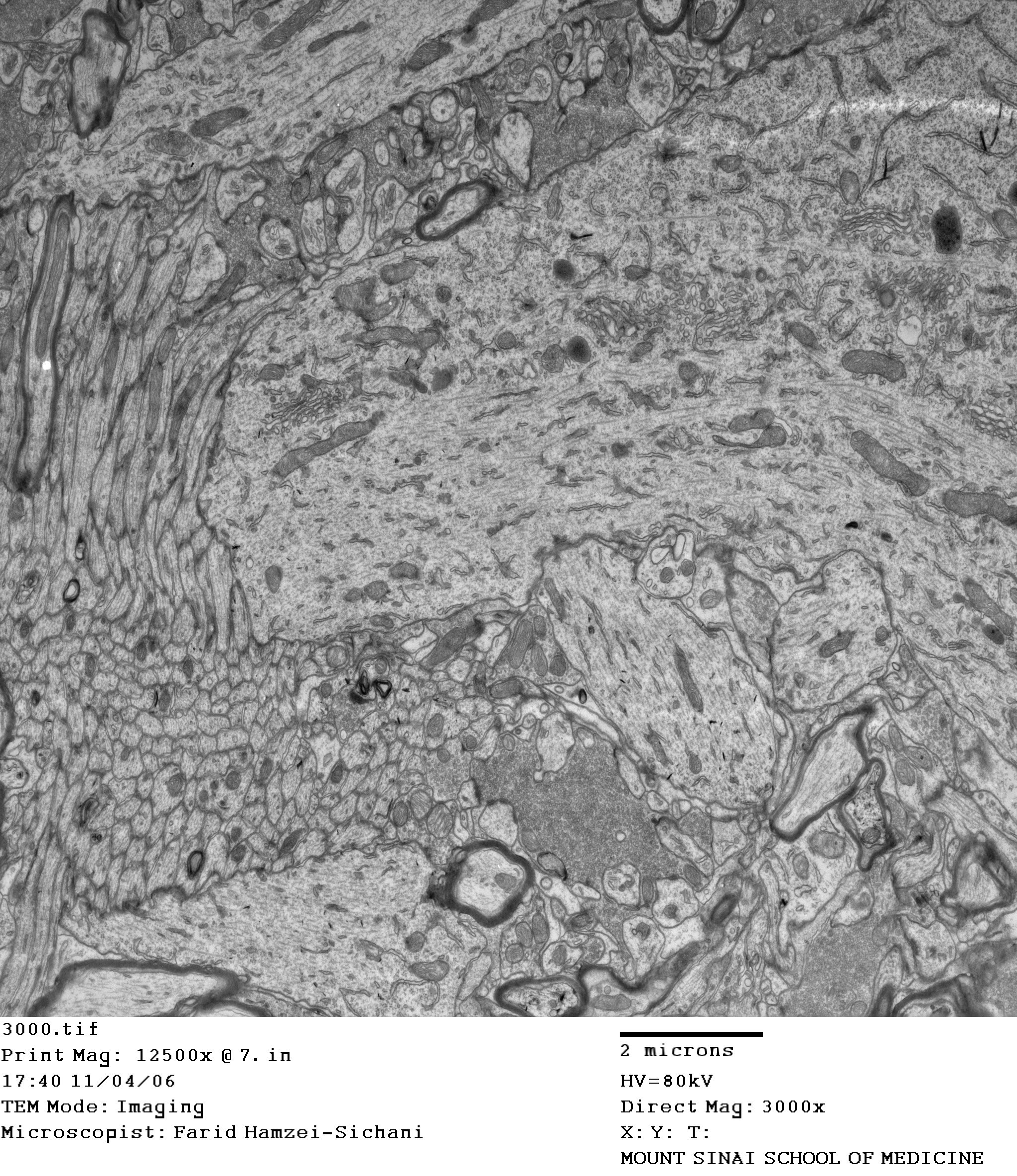
Ultrastructural substrates of high frequency cortical oscillations
other EM images
Mixed synapses
Back To Top ▲
Close
Research
Research
Analytic Resources
Neurophysiology
Epilepsy
Neuromorphology
Neuromorphology
Ultrastructural Studies
Ultrastructural Studies
Ultrastructural Studies of the Human Cortex
Golgi Atlas of the Brain
Network Neurodynamics
Network Neurodynamics
Cortical High Frequency Oscillations
Cortical High Frequency Oscillations
Brief History of High Frequency Oscillations
Cortical HFO Networks
Seizure Prediction
Human Intracranial EEG
Become a Study Participant
Funding
People
People
Lab Members
Alumni
Collaborators
Deep Brain Stimulation
Journal Club
Journal Club
Epilepsy Journal Club
Lab Journal Club
Movement Disorder Journal Club
Neurosurgery Journal Club
News
Publications
Positions
Contact
Additional Resources
About
Admissions
Education
Faculty
Research
Diversity
Giving