Detection of CVA instability

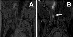
Pre-contrast (A) and Post-contrast (B) 3T MR image of inflammatory lesion induced at the dome of artificial aneurysm. RSNA ©
Cerebrovascular accidents are a leading cause of morbidity and mortality in the United States. Hemorrhagic stroke, secondary to intracranial aneurysm rupture, is a devastating medical emergency. There is currently no objective diagnostic means to identify aneurysms that are at high risk for rupture despite significant improvements in treatment. Often with no warning signs prior to aneurysm rupture such as the transient ischemic attack in ischemic stroke, the need to develop a method for detecting aneurysm instability is necessary.
While the specific events leading to aneurysm rupture have yet to be fully elucidated, there is evidence to suggest that local inflammation may play a role in aneurysm instability. Using enzyme-sensitive substrate (di-5-HT-DPTAGd) MR signal amplification of myeloperoxidase (MPO), we seek to develop an experimental animal model of aneurysm inflammation using local injection of a pro-inflammatory mediator and image local MPO activity. We image MPO-mediated inflammation imaging signal that we proposed as a biomarker reflecting the aneurysm instability (Supported by NINDS exploratory grants).