How can we better model and treat ALS-driven motor neuron degeneration?

 What We Do_zXu DRAFT.png

We develop and test models of amyotrophic lateral sclerosis (ALS) in mice to better understand motor neuron degeneration and develop treatments.

 

 how we do it_zxu.png

We analyze mouse models using cell and molecular biology and biochemistry techniques. We treat mouse models using novel compounds to test therapy.

 zxu_Why We Do It_2.png

ALS is always fatal. We aim to find new cures for moto neuron degeneration in this disease that affects over 30,000 people in the United States.

 zx_Who We Are_redo.png

We are a collaborative and tight-knit group of researchers.

Research Highlights

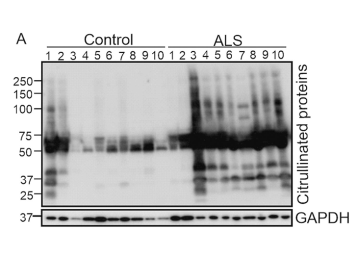
Protein citrullination in amyotrophic lateral sclerosis and other neurodgenerative diseases.
Yusuf IO, Camille W, Thompson PR, Xu Z.

J Exp Neurol. 2024;5(4):183-191. doi: 10.33696/neurol.5.101. PMID: 39712644; PMCID: PMC11661818.


Protein citrullination marks myelin protein aggregation and disease progression in mouse ALS models.
Yusuf IO, Qiao T, Parsi S, Tilvawala R, Thompson PR, Xu Z.

Acta Neuropathol Commun. 2022 Sep 8;10(1):135. doi: 10.1186/s40478-022-01433-5. PMID: 36076282; PMCID: PMC9458309.


PAD2 dysregulation and aberrant protein citrullination feature prominently in reactive astrogliosis and myelin protein aggregation in sporadic ALS.
Yusuf IO, Parsi S, Ostrow LW, Brown RH, Thompson PR, Xu Z.

Neurobiol Dis. 2024 Mar;192:106414. doi: 10.1016/j.nbd.2024.106414. Epub 2024 Jan 21. PMID: 38253209; PMCID: PMC11003460.


Low-level overexpression of wild type TDP-43 causes late-onset, progressive neurodegeneration and paralysis in mice.
Yang C, Qiao T, Yu J, Wang H, Guo Y, Salameh J, Metterville J, Parsi S, Yusuf I, Brown RH, Cai H, Xu Z.
 
PLoS One. 2022 Feb 3;17(2):e0255710. doi: 10.1371/journal.pone.0255710. PMID: 35113871; PMCID: PMC8812852.
 

Latest News

Xu Lab - BMB Blog

  • bmb blog resized ALS.png

    Highlighting ALS Research for ALS Awareness Day

    For the Global Day of Recognition of ALS/MND, in which we honor ALS patients and their caretakers around the world, we wanted to feature the work of our own Dr. Zuoshang Xu. Dr. Xu is one of many researchers around the world working tirelessly to develop the first cure for this deadly disease.

    Read more
Page Menu