Atherosclerosis
Atherosclerosis is an inflammatory disease characterized by the development atherosclerotic plaques. These plaques lead to narrowing and hardening of the arterial lumen, leading to acute myocardial infarction (AMI) and stroke, which account for the vast majority of cardiovascular deaths.
Atherosclerosis mouse models are the predominant model being used to study the pathogenesis of atherosclerotic lesions, especially over the past decade with their ability to produce atherogenesis in a reasonable period of time. These mice are often fed specialized diets with a high content of cholesterol and saturated fat in order to induce hypercholesterolemia and arterial lesions, usually within a 60-90-day period.
Atherosclerosis Models
- Optimized model groups of High Fat Diet with control diet for 60 to 90 days.
- Apolipoprotein E Deficient Mice (ApoE-/-)
- LDL receptor-deficient Mice (LDLr-/-)
- ApoE/LDL Double-knockout Mice
- Pro-protein convertase subtilisin/kexin type 9-Recombinant AAV vectors (PCSK9-AAV)
- Room Temperature studies
- Thermo-neutral room studies
- Cold Exposure Studies
- Whole Body composition analysis
Quantification of atherosclerotic lesion:
- in vivo VisualSonics Vivo 2100 vascular imaging
- Micron-scale computed tomography (Micro CT/Micro PET)
- Wire Myography to Study Vascular Tone and Vascular Structure of Isolated Mouse Arteries.
- Aortic harvest and staining for plaque quantification.
- Cholesterol panels, HDL, LDL, Total Cholesterol
- Histological analysis
- Wire Myography
En-face Aorta Oil Red-O staining for Plaque Quantification

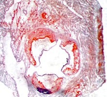
Atherosclerosis Aortic Root Histology Examples
Oil Red-O Staining (fat-soluble dye)
